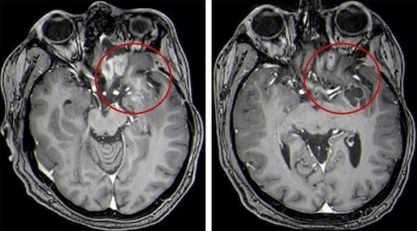
الرئيسية/طب وعلوم/علاج واعد لأورام الدماغ لدى الأطفال طب وعلوم علاج واعد لأورام الدماغ لدى الأطفال admin أرسل بريدا إلكترونيا 19/04/2021 4 أقل من دقيقة فيسبوك X لينكدإن Tumblr بينتيريست Reddit VKontakte Odnoklassniki Pocket تيلقرام admin أرسل بريدا إلكترونيا 19/04/2021 4 أقل من دقيقة فيسبوك X لينكدإن Tumblr بينتيريست Reddit VKontakte Odnoklassniki Pocket تيلقرام شاركها فيسبوك X لينكدإن Tumblr بينتيريست Reddit VKontakte Odnoklassniki Pocket تيلقرام مشاركة عبر البريد طباعة