كيف تلعب الجينات دورها في تحديد مستوى الدهون الضارة بالكبد؟

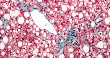
كشفت دراسة جديدة أجراها باحثون في جامعة كاليفورنيا الأمريكية ونشرت مؤخرًا في مجلة بيولوجيا النظم الجزيئية الأمريكية، عن أن الجينات مهمة للسيطرة على كمية المواد الدهنية في الكبد والتي تلعب دورا في تطور مرض الكبد الدهني وتلف الكبد.
ولم يحدد الباحثون بعد كل العوامل التي تساهم في التحول من تراكم الدهون في الكبد إلى أضرار جسيمة، لكن لديهم قدرًا كبيرًا من الأدلة لإثبات أن الجينات تلعب دورًا، حيث يعتقد الباحثون أيضًا أن بعض الدهون التي لم يتم تخزينها بشكل صحيح يمكن أن تؤدي إلى تلف الكبد.
وقال الدكتور نورهايم المؤلف الرئيسي للدراسة “لقد فحصنا عدة مئات من المواد الدهنية في أكباد مئات السلالات المختلفة من الفئران، وقد تم إجراء هذا الجزء من البحث على مدار ثلاث سنوات في جامعة كاليفورنيا في لوس أنجلوس”.
وأضاف، ثبت أن الجينات تلعب دورا فيما يتعلق بالسمنة وتخزين الدهون، المعروفة باسم الدهون الثلاثية، خصوصا الجين المسمى Map2k6- كيناز كيناز البروتين المنشط ذي الخصوصية المزدوجة، في الدراسة التي تم إجراء اختباراتها على الفئران.
وأوضح: أظهرت الدراسات السابقة أن توازن الدهون في الجسم مهم متابعا: “وتم تحديد الجينات المؤثرة على إمكانية تراكم الدهون في الكبد باستخدام ما يسمى بدراسات الارتباط على مستوى الجينوم، هذه دراسات تبحث في تأثير المتغيرات الجينية على عدد كبير من الناس، أو في هذه الحالة”.



